





Adam Klich, kierownik centrum rehabilitacji chorób układu mięśniowo-szkieletowego
Niewiele osób wie, że opracowanie preparatu Relieflex zajęło dużo czasu. Wraz z zespołem przeanalizowaliśmy setki ekstraktów roślinnych z różnych części świata. W końcu udało nam się stworzyć idealną formułę, na podstawie której powstał krem Relieflex.
Nie jest to tylko środek przeciwbólowy działający powierzchownie. Składniki kremu wnikają głęboko w tkanki i dosłownie je łączą, wzmacniając, przywracając elastyczność. Opracowałem specjalną technikę stosowania kremu Relieflex, która nie ma odpowiedników nawet w Europie. Postępując zgodnie z moimi zaleceniami, będziesz mógł swobodnie się poruszać.
Nie ignoruj pierwszych objawów: bólu, obrzęku lub sztywności. Działaj na czas, aby zapobiec postępowi choroby do poważnych stadiów i zachować mobilność oraz jakość życia.
Artretyzm to zapalenie stawów, któremu towarzyszy silny ból i ograniczenie ruchomości. Według statystyk 37% osób cierpiących na artretyzm staje się niepełnosprawnych, jeśli nie rozpoczną leczenia na czas. Nie ignoruj pierwszych objawów choroby!
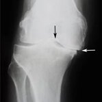
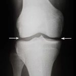
Choroba zwyrodnieniowa stawów stopniowo niszczy tkankę chrzęstną i prowadzi do deformacji stawów. Z czasem nawet najprostsze ruchy stają się niemożliwe, a ból staje się stały. Odpowiednia terapia pomaga zatrzymać postęp choroby.
Obrzęk i stan zapalny stawu kolanowego są sygnałem ostrzegawczym poważnych zaburzeń. Bez leczenia może to prowadzić do całkowitej utraty sprawności ruchowej i konieczności interwencji chirurgicznej. Reaguj natychmiast na pierwsze objawy!






Ból i uczucie ciężkości w kręgosłupie
Trzeszczenie stawów podczas chodzenia
Obrzęk kończyn, ból palców
Ograniczenia w chodzeniu
Ból podczas obracania głową lub tułowiem
To oznacza, że masz problemy ze stawami.
Wiele osób uważa, że choroby stawów są związane ze zmianami związanymi z wiekiem lub zaburzeniami genetycznymi, ale tak nie jest. Oto główne przyczyny chorób układu mięśniowo-szkieletowego:
Alergia -Reakcje alergiczne powodują stan zapalny w organizmie i przyczyniają się do rozwoju chorób stawów.
WirusyNiektóre wirusy krążą we krwi i osadzają się w naczyniach krwionośnych. Przenikają przez błony stawowe i powodują nieprzyjemne objawy.
Choroby układu nerwowegoDysfunkcje układu nerwowego zakłócają odżywianie mięśni, kości i napięcie naczyń krwionośnych, co prowadzi do wyczerpania stawów.
ChorobyPogorszenie krążenia krwi w naczyniach krwionośnych powoduje procesy zapalne w stawach i kościach.
ChorobyWiele chorób stawów jest spowodowanych zaburzeniami hormonalnymi w organizmie.
Relieflex
Nie dodajemy agresywnych środków chemicznych ani silnych alergenów. 90% składu stanowią naturalne ekstrakty. Składniki wzajemnie się uzupełniają i mają pozytywny wpływ na źródło choroby.


Arnica montana zmniejsza obrzęki i stany zapalne
Mentol chłodzi i przyspiesza powrót do zdrowia
Aharpagophytum procumbens wzmacnia naczynia krwionośne i zmniejsza stany zapalne
Robinia pseudoacacia łagodzi bóle stawów
Wyciąg z gumy Boswellia serrata zmniejsza ból i poprawia ruchomość
Krem należy nakładać wyłącznie w stanie spoczynku
Aby Relieflex działała szybko, należy nakładać ją na bolące miejsca w stanie spoczynku.
Rano
Krem należy nakładać rano, zaraz po przebudzeniu, przez 1–2 miesiące. Po nałożeniu należy położyć się na 20–30 minut, aż krem całkowicie się wchłonie.
Krem należy stosować wieczorem przed snem przez 1–2 miesiące. Po nałożeniu nie należy wstawać, aby mięśnie i stawy pozostały w stanie spoczynku.
Aby nie uszkodzić dodatkowo skóry i stawów, nie należy mocno wcierać kremu. Wystarczy nałożyć go delikatnymi ruchami.
Pierwsze zastosowanie
Przed
Po1 tydzień
Przed
Po1 do 2 miesiące terapii
Przed
Po