Съответства на одобрени терапевтични стандарти
Има натурален състав
Препоръчва се от Асоциацията на хепатолозите
Умора
пожълтяване на кожата и очите
храносмилателни разстройства
загуба на апетит
неприятен дъх
прекомерно натрупване на мазнини
здрави хепатоцитни клетки
възпаление
образуване на свободни радикали
образуване на лезии
увредени клетъчни мембрани
Хепатоза мастна дегенерация на черния дроб
Остро възпаление
Фиброза заместване на чернодробния паренхим с белегова тъкан
Цироза разграждане на черния дроб
Сух екстракт от 80% силимарин Естествен антиоксидант. Неутрализира действието на токсините, разгражда ги и спомага за прочистването на черния дроб.
Холин, витамин С Предпазва от инфекциозни заболявания. Засилва защитната функция. Намалява нивата на пикочната киселина.
Сух екстракт от десмодиум Подобрява функцията на черния дроб. Намалява холестерола с висока плътност в кръвта. Облекчава неприятните симптоми, съпътстващи заболяванията на черния дроб, жлъчните пътища и червата: гадене, киселини, оригване, чувство на тежест, метеоризъм и спазми.
Черният дроб предпазва организма от външни фактори и премахва отровните вещества от кръвта. Черният дроб действа като филтър и от време на време трябва да се прочиства.
Hepatol Forte предпазва черния дроб, като възстановява увредените клетки и се бори с развитието на заболяването. Капсулите са ефективно средство за лечение на хепатоза, фиброза, токсичен и медикаментозен хепатит.
Те са разработени, за да подпомогнат правилното функциониране на черния дроб, да го защитят и възстановят за рекордно кратко време.
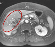
Ядрено-магнитен резонанс преди лечението
ЯМР след 30-дневен курс
Вземайте по една капсула два пъти дневно, едната преди закуска и другата ПРЕДИ ОБЯД
За предотвратяване на чернодробни заболявания Стрес Замърсена околна среда Нездравословна диета


Имам наследствено заболяване на черния дроб, затова редовно приемам курс от поддържащи лекарства.
Сега Hepatol Forte е любимият ми продукт. Той е натурален, няма странични ефекти и усещам прилив на енергия всеки път, когато го приемам.